Lạc nội mạc tử cung trong cơ
Lạc nội mạc tử cung :
Lạc nội mạc tử cung là sự di chuyển của nội mạc tử cung đến một nơi khác ngoài buồng tử cungLạc nội mạc trong cơ: Adenomyosis, lạc nội mạc ở các vị trí khác Endometriosis
Tại đó nội mạc tử cung tiếp tục chịu ảnh hưởng của nội tiết tố sinh dục
Là một bệnh khá phổ biến 2% phụ nữ sinh đẻ
Nguyên nhân có 3 giả thiết: do hành kinh ngược chiều (nhiều người chấp nhận), dị sản tế bào do các tế bào phôi còn tồn tại biệt hóa thành, do tắc nghẽn bạch mạch hoặc theo đường máu
Lạc nội mạc trong cơ
Chia làm 3 loại theo vị trí
Tổn thương giới hạn tới lớp màng đáy
Tổn thương tới lớp sâu
Tổn thương ở lớp bề mặt
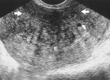
Siêu âm đầu dò âm đạo: thường gặp nhất là vùng giảm âm hay không đồng nhất của lớp cơ không rõ ranh giới, không gây hiệu ứng khối, có thể thấy những ổ dịch nhỏ (50% BN) do giãn nang tuyến hay chẩy máu thường < 5mm. sự dầy lên của lớp cơ tạo hình ảnh lệch tâm của buồng nội mạc,
MRI: chuỗi xung T2W, sự dầy lên của lớp cơ hay vùng chuyển tiếp (juntion zone) (bình thường 7-8mm có thể tới 12mm), kết hợp với những ổ tăng tín hiệu dạng dịch để xác đinh chẩn đoán
![]() |
| Lạc nội mạc tử cung trong cơ MRI tiểu khung |
![]() |
| Lạc nội mạc tử cung làm cơ tử cung mất cân đối qua đường niêm mạc |
![]() |
| Lạc nội mạc tử cung trên MRI |
![]() |
| Lạc nội mạc tử cung, cơ tử cung âm không đồng nhất |
Nguồn Bác sĩ đa khoa





